Jesús Martín-Fernández, el neurocirujano y compositor palmero que ha hecho historia Sociedad Alba Marichal 11/03/2023 Además de realizar la primera cirugía de cerebro despierta en el mundo en la que se usa inteligencia artificial para localizar las emociones, actualmente se encuentra inmerso en proyectos como grabar un documental o escribir su primer libro
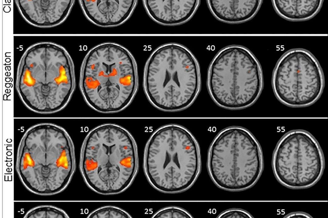
El reguetón provoca mayor actividad cerebral que escuchar clásica o folclore Sociedad EFE 26/07/2021 Frente a la música clásica, el folclore y la electrónica, el reguetón provoca una mayor activación de sonidos y movimientos