El Centro Oncológico Integral Canario, de Hospitales Universitarios San Roque, ha implantado en su departamento de Oncología el tratamiento de radioterapia LATTICE o braquiterapia virtual, para tumores muy avanzados e irresecables y que han sido ya tratados por otras técnicas, sin resultado. Este tratamiento supone una nueva oportunidad para enfermos oncológicos en situaciones clínicas, en las que ya no es posible ningún tratamiento local como la cirugía o la radioterapia estándar.
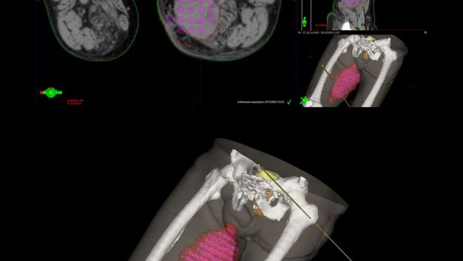
Este tratamiento es particularmente interesante para el manejo de tumores grandes (lesiones ≥5 cm), que tradicionalmente no son susceptibles a la radioterapia corporal estereotáctica (SBRT) o radiocirugía. Los tumores grandes requieren dosis más altas para ser controlados debido a sus dimensiones y porque suelen presentar muchas áreas tumorales resistentes al tratamiento. Esta técnica consiste en desarrollar un tratamiento de radiación extraordinariamente precisa, que genera dentro del tumor, unos focos o vértices de 1cm aproximadamente de muy alta dosis de radiación, separados por 2-3 cm, que son muy similares a los obtenidos con los implantes intratumorales de braquiterapia, pero sin tener que intervenir al paciente. El tratamiento se realiza con un acelerador de radiocirugía con control diario del tratamiento mediante técnicas de imagen muy sofisticados y con sistemas que incluyen robotización de algunos elementos del acelerador. El paciente lo percibe, sin embargo, como una sesión de radioterapia normal.

Tolerancia excelente
Estos focos de alta dosis de radiación están lejos de la piel y otros tejidos sanos, por lo que la tolerancia al tratamiento es excelente. Como la radioterapia convencional este tipo de tratamiento puede asociarse a los tratamientos sistémicos (quimioterapia, hormonoterapia, inmunoterapia, terapias dirigidas) que los pacientes puedan necesitar.
Este nuevo tratamiento, que fue desarrollado inicialmente por la Dra Beatriz Amendola del Innovative Cancer Center de Miami, está ya siendo usado en otros países con éxito. La experiencia internacional publicada muestra tasas de respuesta superiores al 80%, sin que se haya apreciado ningún caso de toxicidad severa. De hecho la Sociedad Europea de Radioterapia y Oncología ha creado un grupo de trabajo (ESTRO Task Force) para la generación de guías europeas de este tratamiento. El profesor Pedro C. Lara Director del Centro Oncológico Integral Canario forma parte de ese grupo de trabajo europeo que trabaja en colaboración con profesionales de la Sociedad Americana de Radioterapia y Oncología (ASTRO).